(909) 324-6236 New Patients

(909) 597-3445 Current Patients

New Patients (909) 324-6236
Current Patients (909) 597-3445

Comprehensive Guide on the Benefits of Full Arch Dental Implants Chino Hills CA

July 17, 2025

dentist in chino hills ca

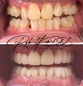
Introduction to Full Arch Dental Implants Chino Hills CA

Avion Dental a leader in Full Arch Dental Implants Chino Hills CA. Dental health is paramount to overall well-being, and missing teeth can significantly impact a person’s quality of life. Traditional solutions for missing teeth, such as dentures and bridges, have their limitations. However, with advancements in dental technology, full arch dental implants have emerged as a revolutionary solution that offers numerous benefits over traditional methods. This comprehensive guide aims to explore the benefits of full arch dental implants, including their impact on oral health, functionality, aesthetics, and overall quality of life.

 

Understanding Full Arch Dental Implant In Chino Hills CA

Full arch dental implants, also known as full mouth dental implants or implant-supported dentures, are a restorative dental treatment designed to replace an entire arch of missing teeth. Unlike traditional dentures, which sit on the gums and may rely on adhesives for stability, full arch dental implants are securely anchored into the jawbone using titanium implant posts.

 

The process typically involves several stages:

  1. Initial Consultation: The dentist assesses the patient’s oral health and discusses treatment options.
  2. Treatment Planning: Detailed scans and impressions are taken to plan the placement of the dental implants.
  3. Implant Placement: Titanium implant posts are surgically placed into the jawbone.
  4. Healing Period: The implants integrate with the bone during a healing period, typically lasting a few months.
  5. Attachment of Prosthesis: Once the implants have fused with the bone, a custom-made prosthetic appliance, such as a fixed bridge or overdenture, is attached to the implants.

 

Benefits of Full Arch Dental Implants Near Me

  1. Improved Oral Health:

Full arch dental implants provide stability and support to the jawbone, preventing bone loss that commonly occurs after tooth loss. Unlike traditional dentures, which can accelerate bone resorption due to pressure on the gums, implants stimulate the underlying bone, preserving its density and strength. This helps maintain the natural shape of the face and prevents the sunken appearance often associated with missing teeth.

  1. Enhanced Functionality:

One of the most significant benefits of full arch dental implants is their superior functionality compared to traditional dentures. Implants are securely anchored in the jawbone, providing stability and preventing slippage or movement while eating, speaking, or laughing. Patients can enjoy a varied diet without restrictions, as implant-supported prosthetics function much like natural teeth, allowing for comfortable chewing and biting.

  1. Long-Term Durability:

Full arch dental implants are designed to be a permanent solution for tooth loss. With proper care and maintenance, they can last a lifetime, eliminating the need for frequent replacements associated with traditional dentures or bridges. While the initial investment may be higher, the long-term durability of implants often proves more cost-effective over time, as they eliminate the need for frequent repairs or adjustments.

  1. Improved Aesthetics:

Full arch dental implants closely mimic the appearance of natural teeth, providing a highly aesthetic solution for tooth replacement. The prosthetic teeth are custom-made to match the size, shape, and color of the patient’s natural teeth, resulting in a seamless smile that enhances facial aesthetics and boosts self-confidence. Unlike traditional dentures, which may appear artificial or bulky, implant-supported restorations blend seamlessly with the natural smile.

  1. Enhanced Comfort:

Traditional dentures can cause discomfort and irritation due to friction against the gums, especially as they become loose over time. In contrast, full arch dental implants eliminate the need for bulky denture bases, as the prosthetic appliance is securely attached to the implants. This not only enhances comfort but also eliminates common issues such as sore spots, gum irritation, and difficulty speaking or eating.

  1. Preservation of Adjacent Teeth:

Unlike dental bridges, which require the adjacent teeth to be shaved down to support the restoration, full arch dental implants do not rely on neighboring teeth for support. This preserves the integrity of the adjacent teeth, reducing the risk of damage or decay. Additionally, because implants stimulate the underlying bone, they help maintain the alignment and stability of adjacent teeth, preventing shifting or misalignment.

  1. Improved Speech:

Ill-fitting dentures can affect speech clarity by causing slurred speech or lisping. Full arch dental implants provide a stable foundation for the prosthetic teeth, allowing for clear and natural speech. Patients no longer need to worry about dentures slipping or clicking while speaking, enhancing their confidence in social and professional settings.

  1. Convenience and Lifestyle Benefits:

Full arch dental implants offer convenience and lifestyle benefits that improve overall quality of life. Patients can enjoy the freedom to eat their favorite foods, speak confidently, and smile without hesitation. Unlike removable dentures, which require nightly removal for cleaning and soaking, implant-supported prosthetics can be cared for much like natural teeth, with regular brushing, flossing, and dental check-ups.

 

Conclusion

Full arch dental implants represent a groundbreaking advancement in restorative dentistry, offering a range of benefits that significantly improve oral health, functionality, aesthetics, and overall quality of life for patients with missing teeth. From enhanced stability and durability to improved comfort and aesthetics, dental implants provide a permanent solution that closely resembles natural teeth. While the initial investment may be higher than traditional dentures, the long-term benefits and improved quality of life make full arch dental implants a highly valuable and rewarding treatment option for tooth replacement. If you’re considering tooth replacement options, consult with a qualified dental professional to determine if full arch dental implants are right for you.

full arch dental implants chino hills ca

Article by GeneratePress

Lorem ipsum amet elit morbi dolor tortor. Vivamus eget mollis nostra ullam corper pharetra torquent auctor metus. Natoque tellus semper taciti nostra primis lectus donec tortor semper habitant taciti primis tempor montes.

Leave a Comment